Hybrid Denture Wax Try In
Ease of scheduling and extraordinary service. These are what makes Incisal Technologies unique. Does you removable lab push your appointments out more than a few weeks? Maybe it’s time to give Incisal Technologies a try.
Pictured below is a wax-try in for upcoming hybrid denture case. Processed with diastema characterization to ensure that the prosthesis looks like the patient’s original natural smile did. These will be finished in Zirconia.
Read More
Full Arch Hybrid Prosthetics
We are specialists in full arch hybrid prosthetics and case planning. We support our dentists chairside at each step of the process, and also help reduce the number of steps in the all on 4 treatment plan. These pictures are of a wax-up and verification jig for upcoming Zirconia hybrid denture case. To be milled, processed, and finished in house on our Dentsply Sirona MCX5 mill.
Read More
Teeth in a Day
We support the teeth in a day workflow and case plan. This picture shows a recent lower immediate denture with surgical guide. Kulzer Heraeus teeth were used on the denture, and the surgical guide was printed using Kulzer dima print material. After the patient finishes the healing phase we’ll produce final impressions and then mill, process, and finish a hybrid arch in Crystal Ultra.
Read More
Digital Workflow
Flipper wax-up using Kulzer Heraeus Mondial teeth. Images show the scans from the Dentist, and digital design of the models. We have the ability to leverage a fully digital workflow which improves accuracy and speed of production. We accept digital scans via Sirona’s inLab, iTero, 3Shape, and the Medit portals. We also accept .zip files via email. This also allows us to serve Dentists from our home state of Texas as well as the rest of the United States. We currently serve dentists from Arizona to Florida and from Texas to North Dakota and are always looking to grow with new customers.
Read More
Crystal Ultra Hybrid Dentures
Another set of Crystal Ultra arches. This is a very popular prostheses for us. We use the same anaxdent composite for the gums and nano-varnish gloss coating that we apply to Zirconia arches. Crystal Ultra is also a nanoceramic material like Zirconia. It has similar strength profile but doesn’t weigh as much as Zirconia.
Read More
3D Printed Dentures
Incisal Technologies - 3D printed dentures in the design, print, and finishing steps. These dentures were printed on our Kulzer cara Print 4.0 3D printer. We have a fully digital workflow on printed dentures, ensuring quick turnaround times and precise fit. We offer top quality printed dentures and we will not be beat on price. Reach out today for more info and an opportunity to see samples of all of our products.
Read More
Dentures!
Acrylic dentures produced the good old fashioned way. We support fully digital and traditional workflows in producing dentures. We offer top quality acrylic dentures and we will not be beat on price. Reach out today for more info and an opportunity to see samples of all of our products.
Read More
Dentures!
Dentures printed on our cara Print 4.0 3D printer. We have a fully digital workflow on printed dentures, ensuring quick turnaround times and precise fit. We offer top quality printed dentures and we will not be beat on price. Reach out today for more info and an opportunity to see samples of all of our products.
Read More
Wax Rim and Wax Try In
Wax rim and wax try-in using Kulzer teeth. These are for an upcoming all-on-four case.
Read More
Immediate Dentures and Surgical Guides
Immediate denture with surgical guide - denture processed using Kulzer teeth and the surgical guide was 3D printed using dima print material from Kulzer.
Read More
Lower Denture and Surgical Guide 2
We’ve had quite a few all-on-4 cases over the past few weeks. Posting another lower denture and surgical guide. The surgical guide will be used to assist in abutment placement, and the dentures will be worn as temporaries while the patient recovers and awaits their final hybrid denture.
Read More
Lower Denture and Surgical Guide
Lower denture with surgical guide. The surgical guide will be used to assist in abutment placement, and the dentures will be worn as temporaries while the patient recovers and awaits their final hybrid denture.
Read More
Lower Denture Wax-Up
Lower wax-up using Kulzer Heraeus Mondial teeth.
Read More
Dentures and Surgical Guides
Upper and lower dentures with surgical guides. Processed using Kulzer Heraeus Mondial teeth.
Read More
Dentures
Wax-up of upper and lower dentures using Kulzer Heraeus Mondial teeth.
Read More
Upper Denture
Upper denture with surgical guide processed using Kulzer Heraeus Mondial teeth.
Read More
Hybrid Denture Wax-Up
Upper hybrid denture wax-up using Kulzer Heraeus Mondial teeth.
Read More
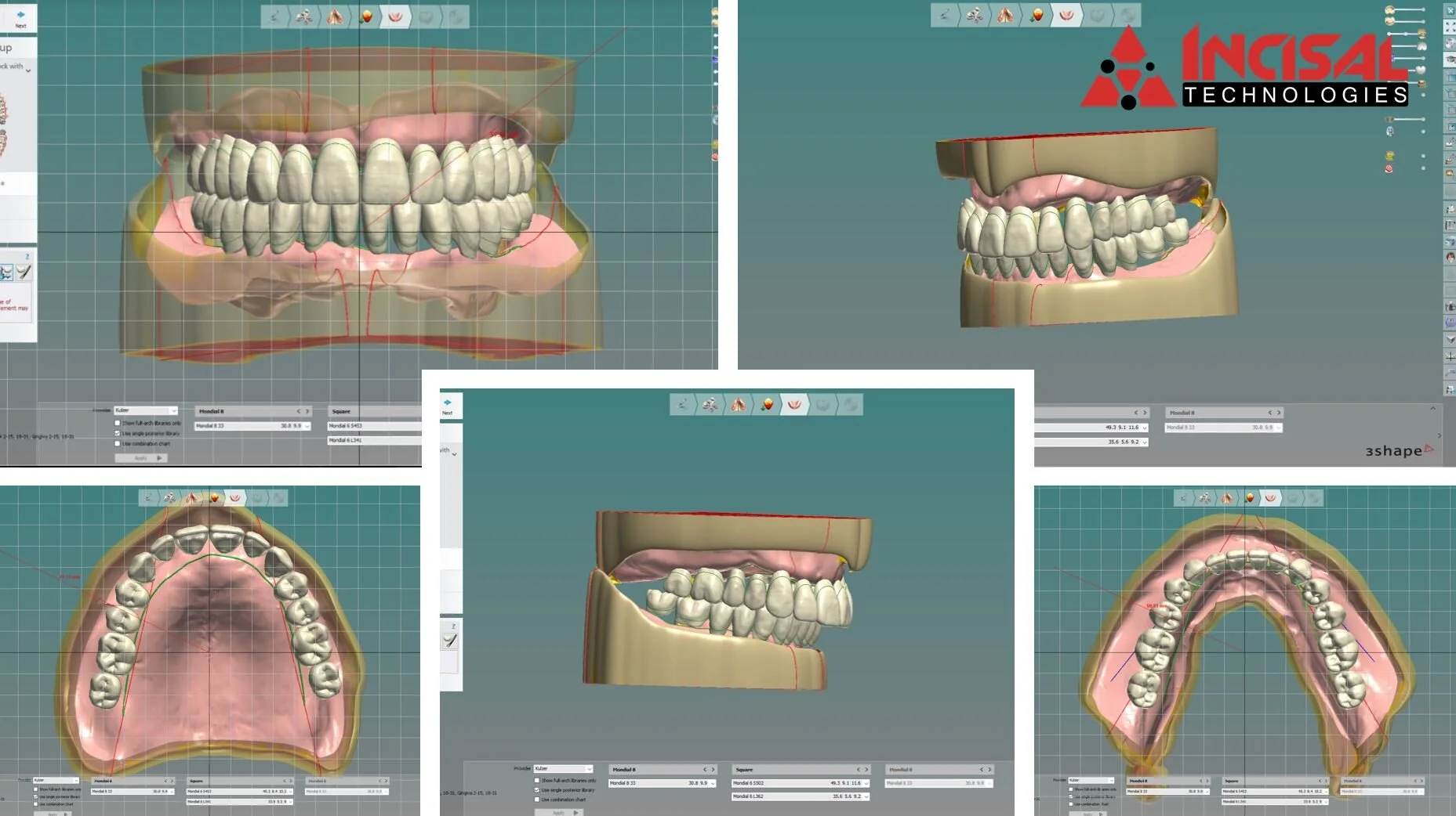
U/L Digital Dentures
More digital denture design in 3Shape. These will be printed on our customers Kulzer Cara Print 4.0. Reach out to us regarding outsourcing your digital design function.
Read More
Denture and Surgical Guide
Another surgical upper denture with a 3D printed surgical guide. Denture produced the good old-fashioned way using Kulzer Heraeus Mondial teeth. Surgical guide printed in our Kulzer Cara Print 4.0.
Read More
Surgical Upper Denture
Surgical upper denture processed and finished by hand the good old-fashioned way. Teeth are Kulzer Heraeus Mondial teeth.
Read More