U/L Digital Dentures
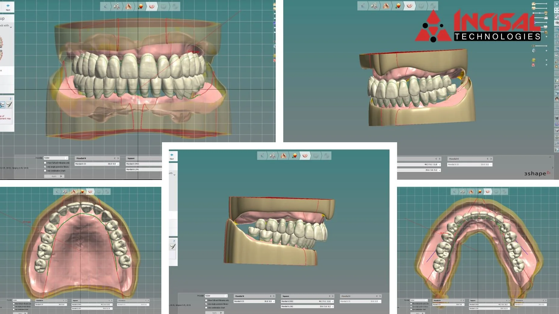
More digital denture design in 3Shape. These will be printed on our customers Kulzer Cara Print 4.0. Reach out to us regarding outsourcing your digital design function.
More digital denture design in 3Shape. These will be printed on our customers Kulzer Cara Print 4.0. Reach out to us regarding outsourcing your digital design function.