Wax try-in for upper denture using Kulzer Heraeus Mondial teeth.
Read MoreClass III (prognathic) upper and lower denture design in 3Shape. The final prosthesis will be printed by our client in their own Kulzer cara Print 4.0.
Read MoreUpper Zirconia hybrid arch after layering tissue. Designed in 3Shape and milled in-house on our Dentsply Sirona inLab MCX5.
Read MoreImpressions scanned by one of our clients using the Kulzer PALA impression system. This was received digitally through the Medit portal. This scan starts our digital design process after being uploaded into our 3Shape software. This is the start of what will become 3D printed dentures that we will print in our Kulzer caraPrint 4.0.
Read MoreWax up for final dentures using Kulzer Haraeus Mondial teeth.
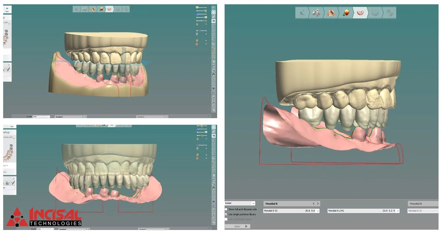
Read MoreDesign and nesting of 3D printed lower locator denture. Design performed in 3Shape and final will printed in our in-house Kulzer CaraPrint 4.0.
Read MoreZirconia sample case that we use to illustrate the different types of prostheses that we offer when meeting with new dentists or patients. Our samples range from the various hybrid arch solutions in Zirconia, Crystal Ultra, Coping Bridges, or Acrylic over titanium. In this presentation we go through the benefits and limitations of each type of restoration that we provide, show samples, and answer any questions that you or your team may have.
Read MoreReline case using the old school reline jig. No case is too big or too small. We believe in service and supporting our Dentists and their patients by meeting whatever needs that may arise.
Read MoreWax try-in for an upcoming upper and lower Zirconia hybrid denture case using Kulzer Mondial teeth. After final approval this will be copy milled in Zirconia using our inLab MCX5 Mill by Dentsply Sirona.
Read MoreDigital design in 3Shape for what will become 3D printed upper and lower dentures. This is a case where the design was outsourced to us by one of clients that will print in their own Kulzer Cara Print 4.0. Contact us about outsourced digital design today.
Read More3D printed dentures for a charity case through Incisal Charities in conjunction with Dental Lifeline. These came back after 9 weeks of the patient wearing them for a hard reline. The print dima bonded perfectly in the reline process. Very interesting opportunity reline our printed dentures, and a great outcome.
Read MoreHybrid upper denture milled in Crystal Ultra with a Tri-Lor bar that was also designed and milled in-house. Next steps will be applying tissue and glazing prior to delivery.
Read MoreScreen shot from a copy scan of an approved wax-up for a final upper Zirconia hybrid denture. Design process in 3Shape. Next steps are to mill in our inLab MCX5 mill from Dentsply Sirona.
Read More